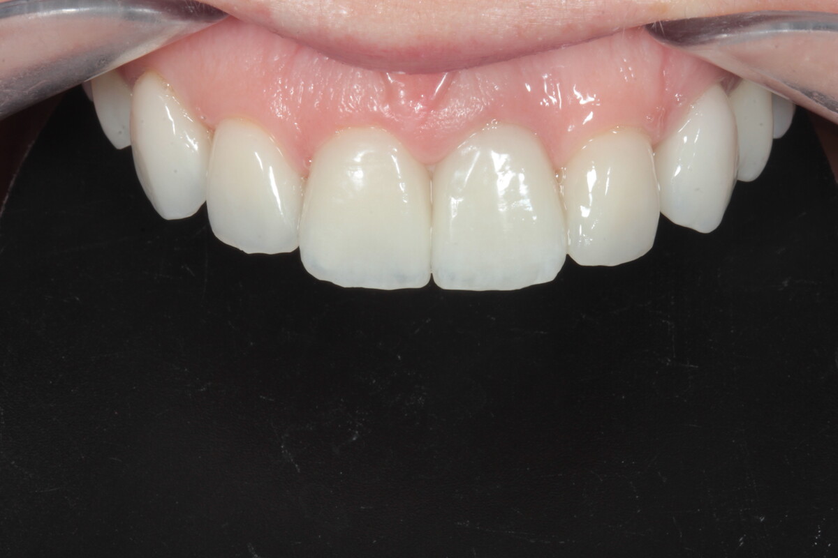
Виниры для начинающих
ты узнаешь все, что необходимо для того, чтобы начать делать виниры уже завтра! Если ты думаешь, что виниры-это сложно, то я спешу тебя обрадовать! С точки зрения ортопедических работ, виниры являются самый простым способом заработка!
Виниры для начинающих
На этом курсе вы узнаете всю информацию о том, как начать делать виниры. Набор необходимых инструментов, препарирование, фотопротокол,
коммуникация с лабораторией и подводные камни на этапе сдачи и фиксации работы в полости рта пациента.
О чем этот курс?
Если вы хотите делать виниры, но не знаете с чегоначать, то этот курс создан именно для вас! Мы разберем подробный протокол от консультации пациента до фиксации готовой работы в полости рта. Что вы получаете на этом курсе?
1. Полный список необходимого оборудования и инструментов для начала работы (боры, список фотооборудования, инструменты).
2. Пошаговую видеоинструкцию препарирования под виниры.
3. Алгоритмы адгезивной фиксации керамических реставраций в полости рта.
Все это позволит вам начать заниматься эстетической стоматологией сразу после прохождения данного курса!
План курса
Каждую неделю для вас будет открываться новый видеоурок с информацией. Всего в конце курса вам будет доступно 8 видеоуроков. Доступ ко всем видеороликам сохраняется 6 месяцев
Автор курса
Колесников Дмитрий Олегович
Врач стоматолог-ортопед. За свою карьеру зафиксировал тысячи адгезивных реставраций. Автор YouTube канала Dr.Kolesnikov, где регулярно публикует обучающие видео для докторов. Также проводит оффлайн мастер классы для докторов по препарированию зубов под различные ортопедические конструкции. Опыт работы в стоматологии более 10 лет
Кого я жду на курсе?
Докторов, которые хотят делать красивые и, самое главное, качественные работы. Тех, кому важна эстетика и граммотное планирование, а не просто пополнение своей кассы. Тех, кто хочет ждать своих пациентов на осмотры с радостью, а не со страхом того, что будут какие-то претензии с их стороны.
Доступ к онлайн урокам
15990 руб
Доступ к онлайн урокам на 6 месяцев
Задавайте ваши вопросы!
авторизуйтесь